Schedule your appointment today to get started on the journey toward a better you.
Her Story. Her Words: A Smile Restored

When Cheap Dentistry Became Costly in Every Way...
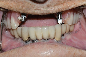
Faye’s story began with hope for a new smile, but turned quickly into one of pain, fear, and disappointment. After visiting a low-cost dental clinic in Orlando, she endured months of painful procedures and poor results. Her upper implants began to fail within weeks, leaving her without teeth and without trust in the system.
“The plate of teeth that were attached to the implants started breaking within 30 days…I was talking on the phone and all of a sudden my teeth fell out!” – Faye

Finding Hope Again
When a friend recommended Dr. Frederick Thurston at Encompass Dental & Wellness,
Faye was hesitant, but needed help and was ready to try and trust again.
​
Dr. Thurston carefully evaluated her case and explained what went wrong with her previous dental work, noting that the materials used were not suitable for long-term success. He walked her through a plan to restore her implants the right way, with precision, quality materials, and comfort at every step.

Re-Doing the Work - The Right Way
Faye came to us after receiving unsatisfactory implant work from another provider. She was distraught, toothless for several weeks, and losing hope after making no progress with the previous practice.
Following the advice of a trusted neighbor, Faye turned to Encompass Dental & Wellness for help. Our team carefully evaluated her case, removed the failed components, and rebuilt her smile with the precision, materials, and care it deserved.
Using proper implant-grade materials and a customized restoration plan, we were able to fully restore her function and her confidence.

A Smile Worth Every Moment
Faye now smiles with confidence again, free from worry, pain, and uncertainty. Her experience reminds us that peace of mind is just as important as the smile itself.






